하지골절
THENANUM HOSPITAL
하지골절은 하지(골반부터 발가락까지 총 62개 뼈로 구성된 부분)에 강한 외력이 작용하여 부분적으로 또는 완전히 엇나가 뼈의 연속성이 소실된 상태를 말합니다.
제대로 치료하지 않으면 뼈의 구조가 변형된 상태로 고착화되어 기능적인 문제가 발생할 수 있으며 신경 손상, 관절강직 등의 후유 장애를 남길 수 있습니다.

원인
추락 및 낙상사고, 과격한 스포츠 활동으로
인한 손상 강한충격

증상
극심한 통증 및 정상 기능 상실
골절로 인한 관절 모양 변형
골절 부위의 출혈과 체액 증가로 및 종창(붓기)발생

골절시 주의사항
골절부위를 부목 등으로 고정한다.
냉찜질로 통증 및 부기를 골절한다.
골절 부위를 직접 맞추려는 행동은 하지 않는다.
중증의 손상, 상처, 저림 등의 동반되면 즉시 응급수술이 가능한 병원으로 이송한다.
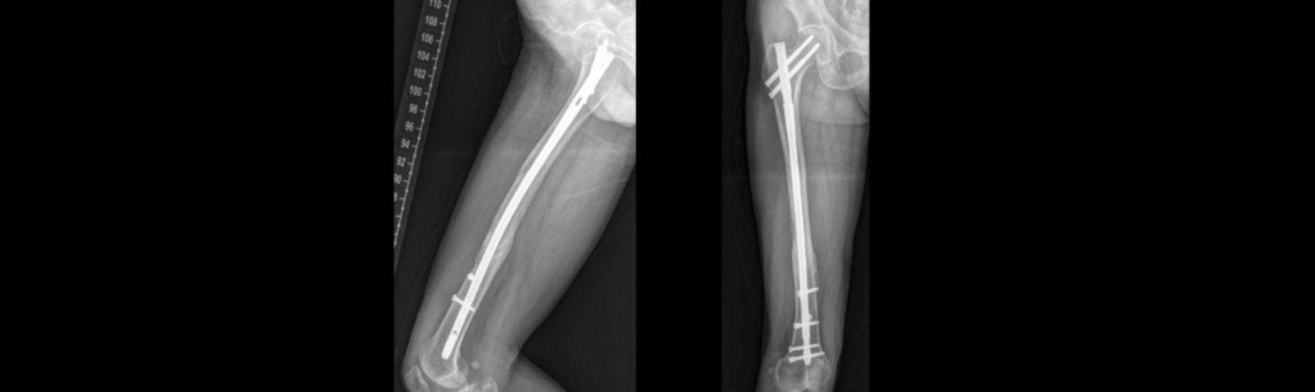
하지골절 치료방법
THENANUM HOSPITAL
골절의 치료는 응급 치료, 본 치료, 재활 치료의 절차로 진행됩니다.
응급 치료는 부목 고정으로 추가적인 연부 조직 손상을 예방하고, 통증을 경감시키며, 환자의 엑스레이 검사를 용이하게 하는 목적으로 시행됩니다.
골절의 본 치료는 환자의 전신 상태가 안정된 후에 시행되며 손상 정도, 부위 및 합병증의 유무에 따라 세부적 치료 방법을 선택합니다.
※ 수술 및 시술 시 매우 드물게 출혈이나 감염, 혈전 등이 있을 수 있습니다.
더나눔병원 주소 : 인천광역시 미추홀구 독배로 408-1
TEL : 032-888-7755 FAX : 070-4291-5407
사업자등록번호 : 634-98-01041 I 대표자 : 윤석호
copyright 2025 더나눔병원 All right Reserved.